Lunes 23 de Marzo de 2026

  • Termómetro
  • 19.3�º

19.3�°


30 de abril de 2023

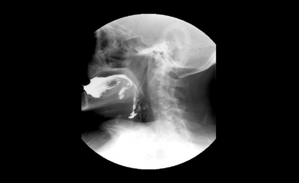
El Municipio Incorporó Un Nuevo Estudio De Videodeglución En El Hospital Materno Infantil De Tigre

La gestión local brinda este servicio de imágenes de rayos X para evaluar la deglución y advertir dificultades en la misma. Esta asistencia médica amplía la capacidad de atención y beneficia la recepción de niños y niñas.

En el Hospital Materno Infantil de Tigre, el Municipio incorporó un nuevo estudio de videodeglución en el servicio de imágenes de rayos X para evaluar la deglución y advertir dificultades en la misma. Esta prestación médica amplía la capacidad de atención y mejora la recepción a niños y niñas.

En 2021, el Municipio de Tigre inauguró la ampliación de la Unidad de Terapia Intensiva Pediátrica del Hospital Materno Infantil con equipamiento que cuenta con monitores multiparamétricos, aspiración central, bombas de infusión, 9 camas, respiradores artificiales y tecnología de punta.

Además, el Hospital se encuentra integrado por 52 especialistas pediátricos en diferentes disciplinas de la medicina como: general, psicología, psiquiatría, neurología, fonoaudiología, gastroenterología, otorrinolaringología, alergista, entre otros.

COMPARTIR:

Notas Relacionadas

Julio Zamora: “Tenemos Que Utilizar Recursos De Las Funciones Propias Del Municipio Y Dar A Lo Más Urgente, Que Es La Comida En La Mesa De Los Vecinos"

"Hay personas a las que les cuesta mucho acceder a los alimentos, como también a los medicamentos y a un techo digno. Nuestros deber es estar cerca de quienes más nos necesitan", fue el mensaje del intendente de Tigre en el marco de la celebración por el 25 de Mayo en distintos puntos del partido.

Red De Espacios Culturales: La Propuesta Que Impulsa Vicente López Para Promover La Cultura

Vicente López se distingue por su amplia variedad de propuestas culturales que incluyen cine, teatro, danza, artes visuales y literatura, entre otras. Para apoyar esta diversidad, el municipio cuenta con una Red de Espacios Culturales.

En San Fernando un Recital Sobre La Revolución De Mayo Con "La Sacha Fuga" Se Presentará En El Teatro Martinelli

El domingo 26 de mayo la sala municipal ofrecerá una función especial en alusión a la fecha patria con la orquesta sanfernandina y su novedosa obra "Armas de Construcción Masiva”. Reservas por mail o teléfono, o en la boletería de Lavalle 3021, Victoria.

Comentarios

Escribir un comentario
Tu comentario se publica directamente al enviarlo.
Comentarios
Aun no hay comentarios, sé el primero en escribir uno.